
We meet daily with patients in whom the processes that take place in the mouth are reflected throughout the body. And vice versa - the processes that take place in the body can be reflected in the poor condition of the teeth.
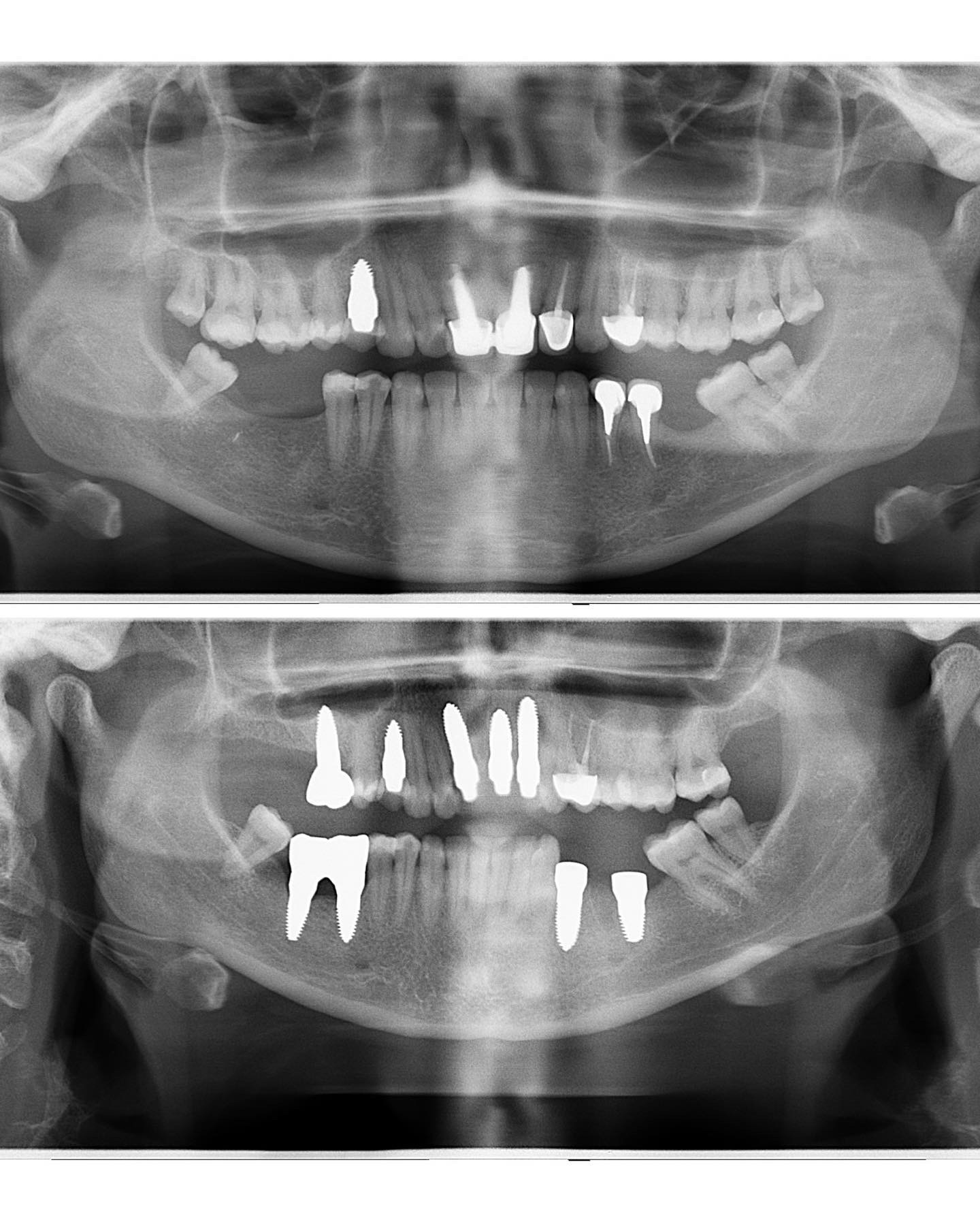
This connection was shown again with our patient in whom, due to tooth damage at a young age, after the previous removal of three nerves on the front teeth, coatings were installed. However, when we removed the veneers and removed the teeth, we detected very black roots that indicate completely rotten teeth.
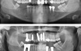
The patient immediately had three @swissdentalsolutions ceramic implants placed and provisional crowns on top of these. During the procedure, when the teeth were removed, the patient already felt relief.
We believe that the treatment will strengthen her mental and physical strength for the future and raise the quality of life.
We keep repeating how important the condition in the mouth is. Let us not neglect the silent inflammations and problems that are hidden from the eyes, in the end they are reflected in the disease states of the whole body. 💡 This is also the essence of our vision of biological dentistry - we work for health at all levels and relieve the entire immune system.