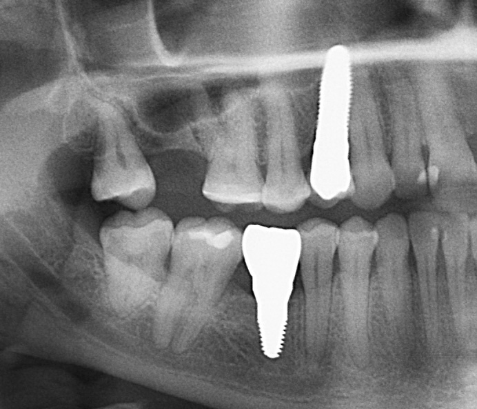
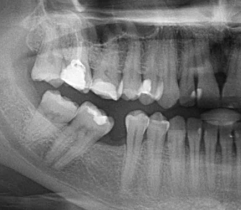
The
patient had his bottom six removed years ago. The teeth had become misaligned
and orthodontic therapy was used to correct the bite of the entire dentition.
Before starting orthodontic treatment, the teeth must be healthy, the
periodontal tissues must be free of inflammatory changes. In addition, it is
very important to master meticulous oral hygiene.
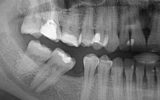
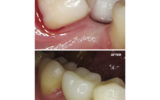
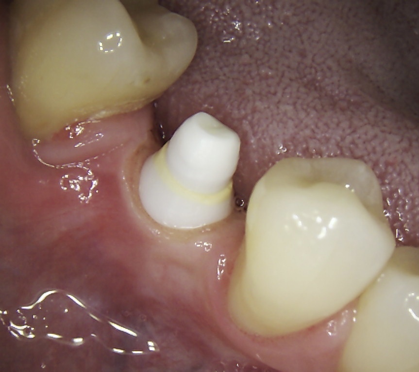
After 6 months of successful
orthodontic treatment, we were finally able to place the implant and the
provisional crown. After 4 months of ingrowth, aligners were removed and a full
ceramic crown was placed. The treatment was successfully completed!✋🏽😉

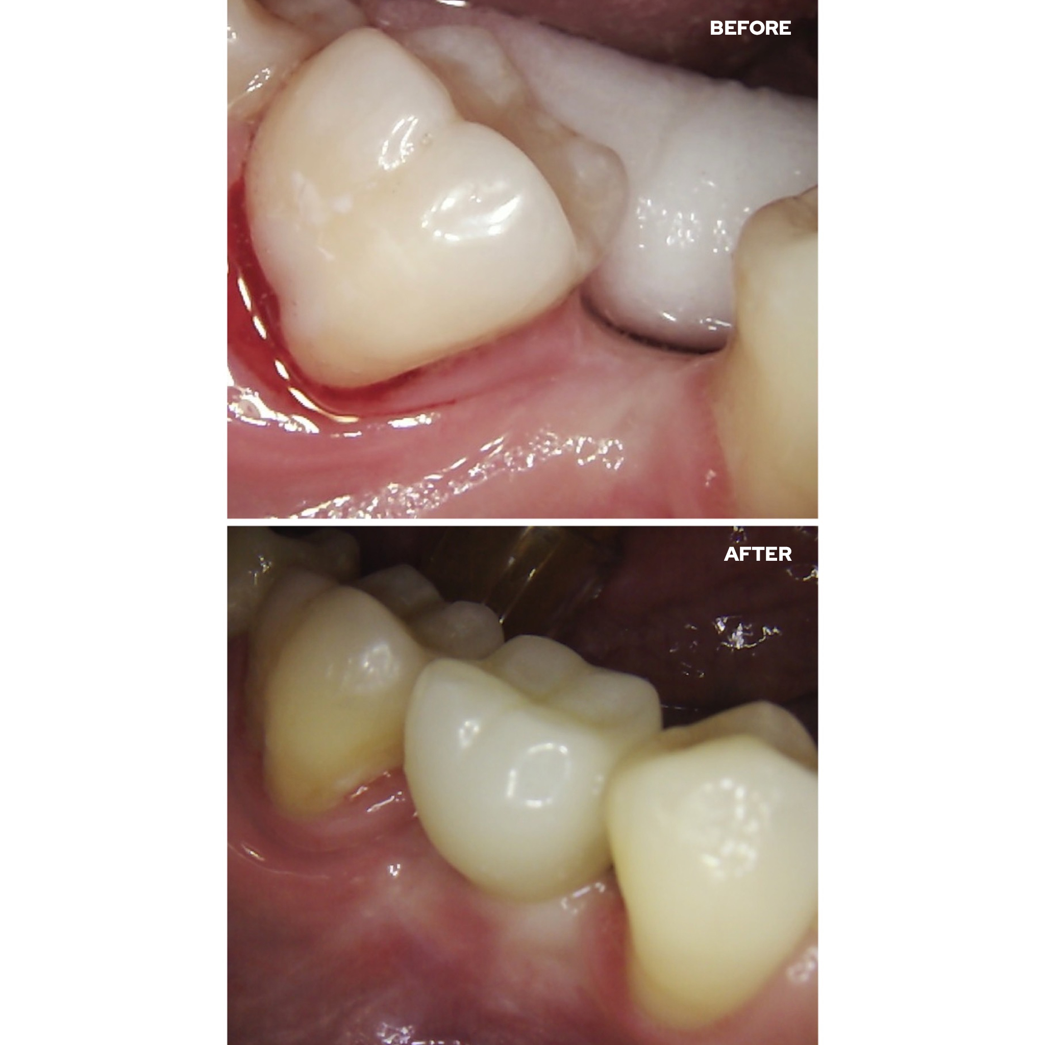
It is a very common case when, due to a wide variety of factors (most often diseases of the teeth or periodontal tissues, but sometimes also the general state of health), the patient has a certain tooth pulled out, and in its place there can be a gap for years. Teeth tend to bend over time, so in this case we advise you to see an orthodontic specialist, who will examine you, analyze the situation and give an assessment of the possibilities and success of the treatment. He will also find out the reason why the teeth move inwards.